Gesunde Mundflora — MKG Hochrhein Dogern
Mundgesundheit 8 Min. Lesezeit

Gesunde Mundflora

Eine gesunde Mundflora schützt vor Karies, Entzündungen und Mundgeruch. Erfahren Sie, wie Sie Ihr orales Mikrobiom stärken.

Jetzt Termin vereinbaren
700+
Bakterienarten im gesunden Mundraum
tägliche Mundhygiene empfohlen
PZR
1–2× pro Jahr für gesunde Balance
4,9 ★
Bewertung unserer Patienten
Gesunde Mundflora für Ihre Zahngesundheit

Mundflora Definition

Mundflora ist die Gesamtheit aller Mikroorganismen im Mund, die zusammen das orale Mikrobiom bilden. Eine gesunde Mundflora schützt vor Karies, Zahnfleischerkrankungen und Mundgeruch. Störungen durch Zucker, Antibiotika oder schlechte Mundhygiene können das Gleichgewicht beeinträchtigen.

Eine ausgewogene Mundflora ist ein zentraler Baustein Ihrer Mund- und Allgemeingesundheit. Oft wird sie erst dann wahrgenommen, wenn etwas aus dem Gleichgewicht gerät: schlechter Atem, häufiger Belag, Entzündungen, wiederkehrende Karies oder empfindliches Zahnfleisch. Dabei ist die Mundflora ein fein abgestimmtes System – und genau dieses System entscheidet täglich darüber, wie gut Ihr Mund sich selbst schützen kann.

In diesem Artikel erfahren Sie,

  • was „Mundflora" eigentlich bedeutet,
  • wie ein gesundes mikrobielles Gleichgewicht entsteht,
  • welche Faktoren es stören,
  • und was Sie selbst tun können, um Ihre Mundflora langfristig zu stärken.

Was ist die Mundflora?

Eine gesunde Mundflora für ein strahlendes Lächeln

Die Mundflora beschreibt die Gesamtheit aller Mikroorganismen im Mundraum – hauptsächlich Bakterien, aber auch Pilze und Viren. Ein Großteil davon ist völlig harmlos oder sogar nützlich. Diese Mikroorganismen übernehmen wichtige Aufgaben:

Probleme entstehen erst dann, wenn das Gleichgewicht gestört ist und sich unerwünschte Keime übermäßig vermehren.

Wie sieht eine gesunde Mundflora aus?

Strahlendes Lächeln mit gesunder Mundflora

Eine gesunde Mundflora ist geprägt von Vielfalt. Das bedeutet: Viele verschiedene Arten, die miteinander in Balance stehen. Typische Merkmale sind:

Sind diese Bedingungen erfüllt, funktioniert der natürliche Schutzmechanismus optimal.

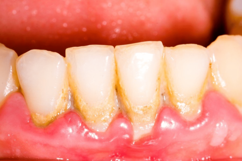
Wie kann die Mundflora aus dem Gleichgewicht geraten?

Blick in das Innere des Mundes

Mehrere Faktoren können das Gleichgewicht empfindlich stören:

Die Mundflora ist ein oft unterschätzter Faktor für die Gesamtgesundheit. Wer regelmäßig zur Prophylaxe kommt und auf seine Mundhygiene achtet, kann viele Probleme gar nicht erst entstehen lassen. Prävention ist hier der beste Weg.
Dr. Zhe Huang
Dr. Zhe Huang Zahnarzt & WB-Assistent Oralchirurgie, MKG Hochrhein

Folgen einer gestörten Mundflora

Gestörte Mundflora

Eine Dysbiose – also ein Ungleichgewicht – kann verschiedene Probleme begünstigen:

Langfristig kann eine unbehandelte Parodontitis sogar Allgemeinerkrankungen wie Diabetes oder Herz-Kreislauf-Erkrankungen beeinflussen.

Mundflora aus dem Gleichgewicht? Wir helfen Ihnen weiter.

In der MKG Hochrhein in Dogern beraten wir Sie individuell zu Vorsorge, Prophylaxe und professioneller Zahnreinigung — für eine gesunde Mundflora und langfristigen Schutz.

Wie können Sie Ihre Mundflora stärken?

Zweimal täglich Zähne putzen für eine gesunde Mundflora

Hier sind die wichtigsten Maßnahmen, um das bakterielle Gleichgewicht im Mund nachhaltig zu unterstützen:

Richtige Ernährung

Konsequente Mundhygiene

Professionelle Zahnreinigung

Professionelle Zahnreinigung

Eine regelmäßige PZR bei der MKG Hochrhein entfernt Beläge, die Sie zu Hause nicht erreichen.

Genügend Flüssigkeit

Wasser unterstützt die Speichelproduktion – eine der wichtigsten natürlichen Abwehrfunktionen.

Rauchen reduzieren oder aufgeben

Schon wenige rauchfreie Wochen verbessern deutlich die Mundgesundheit.

Dentalhygiene bei der MKG Hochrhein in Dogern

Probiotika für den Mund

Es gibt spezielle Präparate, die das mikrobielle Gleichgewicht unterstützen können – sinnvoll vor allem nach Antibiotikatherapien oder bei wiederkehrenden Entzündungen.

Regelmäßige Kontrollen

Kontrolluntersuchungen ermöglichen es, Veränderungen früh zu erkennen und gezielt gegenzusteuern.

Fazit: Eine gesunde Mundflora schützt mehr als nur Ihre Zähne

Wartezimmer MKG Hochrhein in Dogern

Die Mundflora ist ein kleines Ökosystem, das Tag für Tag Großes leistet. Wenn es in Balance ist, profitieren Zähne, Zahnfleisch und Ihr gesamter Organismus. Mit der richtigen Pflege, Ernährung und regelmäßigen Kontrollen können Sie aktiv dazu beitragen, dieses Gleichgewicht zu erhalten.

Sollten Sie erste Anzeichen einer Entzündung bemerken oder eine gezielte Vorsorgeuntersuchung wünschen, stehen wir Ihnen in der MKG Hochrhein in Dogern jederzeit zur Verfügung. Vereinbaren Sie gerne einen Termin – wir beraten Sie kompetent und individuell.

Dr. Zhe Huang
Ihr Ansprechpartner
Dr. Zhe Huang
Zahnarzt & WB-Assistent Oralchirurgie, MKG Hochrhein

In der MKG Hochrhein in Dogern unterstützen wir Sie mit professioneller Zahnreinigung, individueller Prophylaxe und kompetenter Beratung rund um Ihre Mundgesundheit. Vereinbaren Sie gerne einen Termin.

Mehr erfahren →

FAQ Gesunde Mundflora

Was versteht man unter einer gesunden Mundflora?

Unter Mundflora versteht man die Gesamtheit aller Mikroorganismen im Mundraum. Eine gesunde Mundflora besteht aus vielen nützlichen Bakterien, die im Gleichgewicht stehen, den pH-Wert stabilisieren und Zähne sowie Zahnfleisch vor Krankheiten schützen.

Woran erkenne ich, dass meine Mundflora gestört ist?

Typische Anzeichen sind häufiger Mundgeruch, Zahnfleischbluten, Beläge, empfindliche Zähne, wiederkehrende Entzündungen oder ein unangenehmer Geschmack im Mund. Eine professionelle Diagnose ist in der MKG Hochrhein jederzeit möglich.

Wie kann ich meine Mundflora stärken?

Eine gute Mundhygiene, eine ausgewogene Ernährung, ausreichend Flüssigkeit und regelmäßige professionelle Zahnreinigungen tragen entscheidend zur Stabilisierung der Mundflora bei. Probiotika können das Gleichgewicht zusätzlich unterstützen.

Welche Folgen hat eine unausgewogene Mundflora?

Eine gestörte Mundflora (Dysbiose) erhöht das Risiko für Karies, Gingivitis, Parodontitis und schlechten Atem. Außerdem kann sie langfristig sogar Einfluss auf allgemeine Erkrankungen wie Diabetes oder Herz-Kreislauf-Erkrankungen nehmen.

Können Stress und Ernährung die Mundflora beeinflussen?

Ja. Stress erhöht unter anderem den Cortisolspiegel und kann entzündliche Prozesse fördern. Zucker- und kohlenhydratreiche Ernährung liefert schädlichen Bakterien optimale Bedingungen. Beides kann das Gleichgewicht der Mundflora negativ verändern.


Vorsorge und Prophylaxe anfragen

Möchten Sie Ihre Mundflora gezielt stärken oder eine professionelle Zahnreinigung vereinbaren? Kontaktieren Sie uns — wir beraten Sie individuell zu Vorsorge und Mundhygiene.

Praxisteam MKG Hochrhein
Ihr Praxisteam Terminvergabe & Beratung